Эмч Б.Бямбаяр 4-5 настай хүүхдүүд нойр, булчирхайн архаг үрэвсэлтэй болж байгаа талаар халаглан бичээ.
Тэрээр,
Даанч яав даа гэмээр өдөр болж өнгөрлөө. 4-5хан настай хүүхэд нойр булчирхайн архаг үрэвсэлтэй болчихсон байна гэхээр итгэхэд хэцүү байгаа биз! Гэхдээ үнэн л болж таараад байна даа.
Энэ удаагийн хүүхдийн үзлэг хамгийн аймаар нь байлаа.44 хүүхдээс 12т нь илэрсэн. Хамгийн бага нь 3 настай, том нь 18 настай.
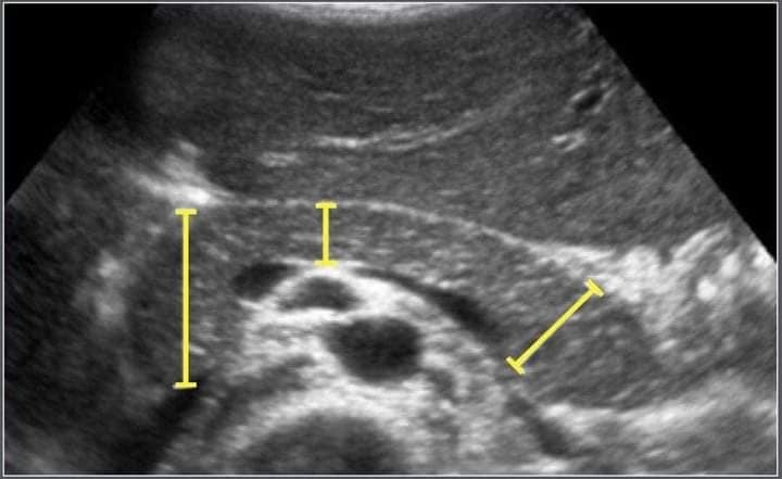
Эхний зураг: 3 настай охины #НОЙР_БУЛЧИРХАЙН_АРХАГ_ҮРЭВСЭЛ болсон байгаа нь/доод зурагтай харьцуулна/

Хоёр дахь зураг: Хэвийн үед нойр булчирхай ингэж харагдана

Энгийн хар ухаанаар бодоцгооё. 3,4,5 настай хүүхэд 40,50 настны өвддөг зовиураар өвдөнө. Тэгээд насан туршдаа хоолны дэглэм барьж зөв хооллож амьдрахгүй бол дахиад л өвдөнө. 40 насандаа өвчлөх өвчнөөр 4 настайдаа өвдөж байгаа нь хамгийн харамсалтай.
Энэ бол буруу хооллолт, амттаны хэт их хэрэглээ. Маш муу нүүрс усны хэт их хэрэглээний үр дүнд үүсч байгаатай холбоотой. Бусад шалтгаанууд бол маш цөөн тохиолдолд байх.
Мэдээж эцэг эхэд буруу 100% өгнө. Урдны үзлэгүүд дээр маш цөөн байдаг байсан бол энэ удаад 44-өөс 12 гэхээр бүр гол харлаж байна. Энд худлаа зүйл нэг ч байхгүй. Элдэв нэмэлт хачиргүй, зурагт ямар нэг засваргүй бүрэн эхээрээ баримттайгаа байгаа шүү.
АМТТАНД УМБУУЛЖ БАЙГАА НЬ ХАЙРЛАХ БИШ ХОРЛОЖ БАЙГАА ХЭРЭГ! гэжээ.
